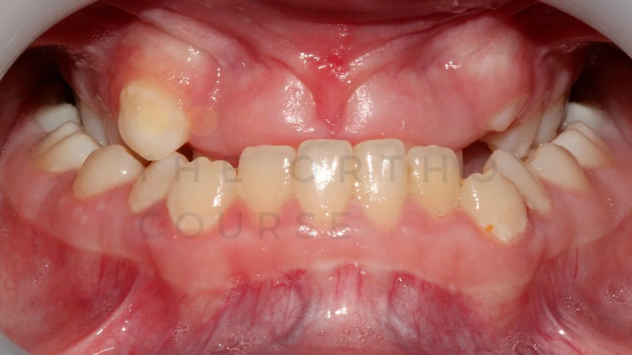
Rapid Maxillary Expansion and Reverse Pull Headgear was used to correct this extreme Class II Malocclusion.

Previous
Previous

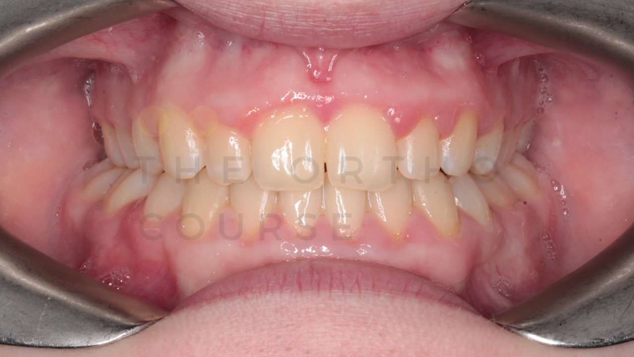
Maxillary Cant Treated with TAD